Smile Gallery

At Lake City Family Dental Center we are dedicated to creating lasting smiles through comprehensive care using the latest technology. We proudly offer personalized, patient-driven care focused on the health, beauty, and functionality of your teeth. Please browse our smile gallery below and contact us to schedule a smile consultation today.

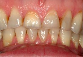
Lake City Family Dental Center | Oral Cancer Screening, Dental Fillings and Dental Cleanings

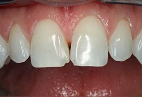
Before

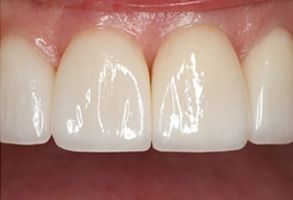
Lake City Family Dental Center | Teeth Whitening, Preventative Program and Cosmetic Dentistry

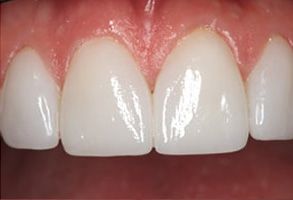
After

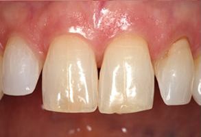
Lake City Family Dental Center | Night Guards, Dental Cleanings and Emergency Treatment

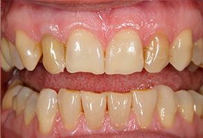
Before

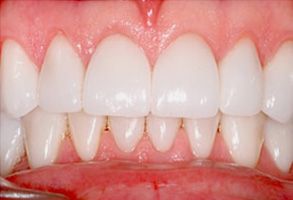
Lake City Family Dental Center | Dental Cleanings, Cosmetic Dentistry and Dentures

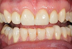
After

Lake City Family Dental Center | Night Guards, Sports Mouthguards and Pediatric Dentistry

Before

Lake City Family Dental Center | Dental Fillings, Sleep Apnea and Dental Bridges

After

Lake City Family Dental Center | Night Guards, Dental Cleanings and Cosmetic Dentistry

Before

Lake City Family Dental Center | Oral Exams, Dentures and Pediatric Dentistry

After

Lake City Family Dental Center | Dentures, Extractions and Pediatric Dentistry

Before

Lake City Family Dental Center | Dental Cleanings, Dental Bridges and Dentures

After

Lake City Family Dental Center | Extractions, Preventative Program and Dentures

Before

Lake City Family Dental Center | Cosmetic Dentistry, Emergency Treatment and Oral Exams

After

Lake City Family Dental Center | Oral Cancer Screening, Dental Fillings and Teeth Whitening

Before

Lake City Family Dental Center | Dentures, Sports Mouthguards and Dental Cleanings

After

Get in touch

We’re always on hand to answer your questions and get back to you with a prompt response.

Submit

Thank You!

We appreciate you taking the time to visit our site. We'll review your message and be in touch with you soon.

Continue

Let us help bring out the best in your smile!

About Us

Our goal is to help every patient experience the benefits of good oral health and a beautiful smile. We value the trust you have placed in our office and strive to provide solutions that meet your dental needs and expectations of care.

Questions?

1680 S W Newland Way
Lake City, FL 32025